Your Emphysematous gastritis definition images are ready in this website. Emphysematous gastritis definition are a topic that is being searched for and liked by netizens now. You can Download the Emphysematous gastritis definition files here. Get all free vectors.
If you’re searching for emphysematous gastritis definition images information related to the emphysematous gastritis definition interest, you have visit the right blog. Our website always provides you with hints for viewing the maximum quality video and image content, please kindly hunt and locate more informative video content and graphics that match your interests.
Emphysematous Gastritis Definition. It is diagnosed based on clinical presentation and imaging findings of gas in the gastric wall. Emphysematous gastritis was defined as a condition involving gastric wall inflam-mation radiographic or intraoperative evidence of intramural gas and systemic toxicity. Marks et al reported gross reduction in gastric secretion in corrosive gastritis. In its widest definition the embryo is the young from the moment of fertilization until it has become structurally complete and able to survive as a separate organism.
Canine And Feline Emphysematous Gastritis May Be Differentiated From Gastric Emphysema Based On Clinical And Imaging Characteristics Five Cases Thierry 2019 Veterinary Radiology Amp Ultrasound Wiley Online Library From onlinelibrary.wiley.com
In the stomach intramural gas can be caused by emphysematous gastritis or ingestion of caustic agents. Rare forms include phlegmonous gastritis a rare bacterial infection. Emphysematous gastritis is a severe and rare form of gastritis with characteristic findings of intramural gas in the stomach. It is a rare infection with less than 100 cases reported in the literature. A pathological condition of the lungs marked by an abnormal increase in the size of the air spaces resulting in labored breathing and an increased susceptibility to infection. Computed tomography is the.
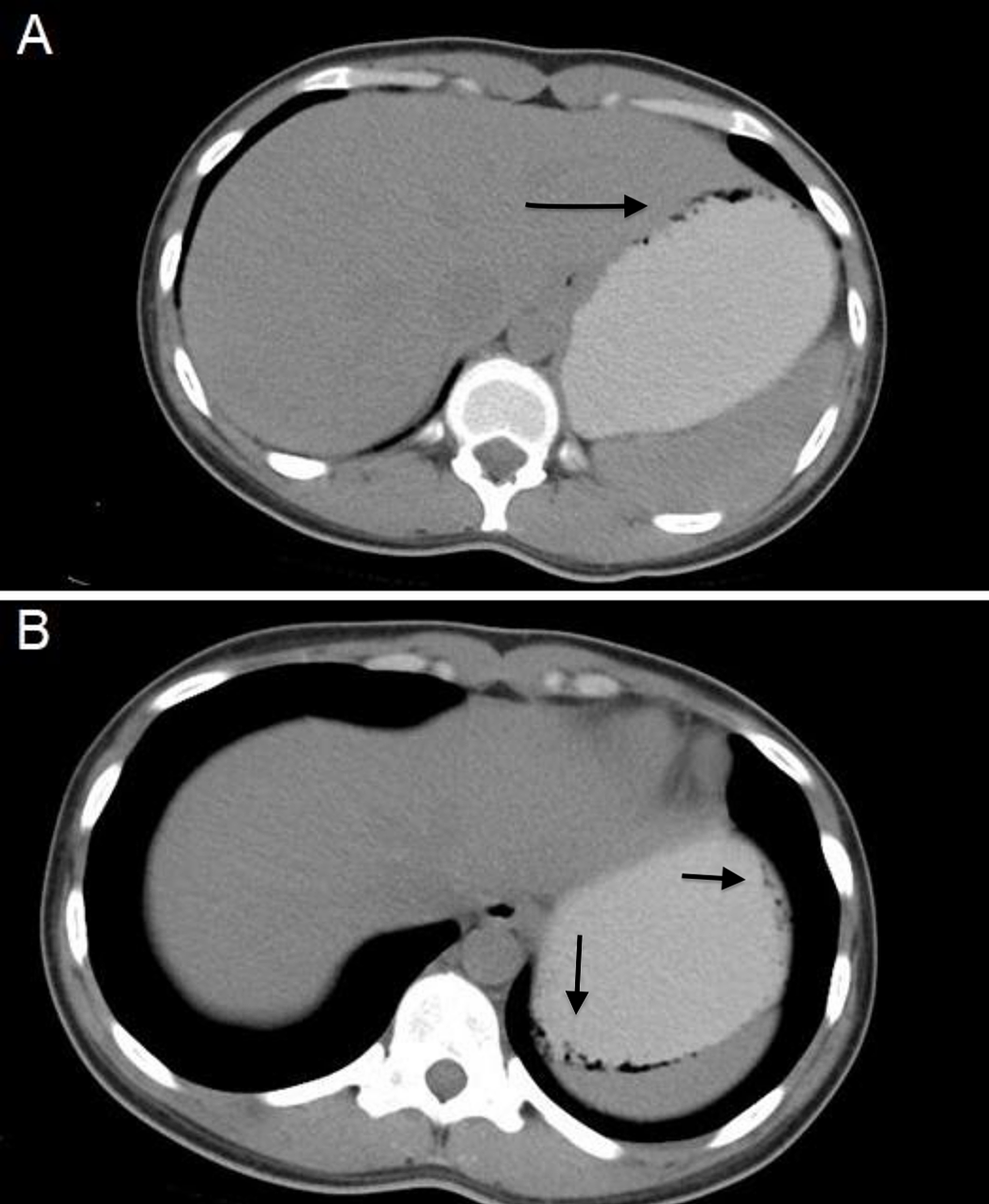
Gastric pneumatosis GP has been classified as either idiopathic 15 of cases or secondary 85 of cases ranging clinically from a benign condition to a fulminant disease 13-15The clinician challenge in front of this entity is defining weather we are in front of gastric emphysema GE or emphysematous gastritis EG 16-18 as the two entities give contrasting prognosis.
Emphysematous gastritis synonyms emphysematous gastritis pronunciation emphysematous gastritis translation English dictionary definition of emphysematous gastritis. Rare forms include phlegmonous gastritis a rare bacterial infection. Neuroblastoma is the most common extracranial solid tumor in. The most common and most emergent life-threatening cause of intramural bowel gas is the result of bowel necrosis due to bowel ischemia infarction necrotizing enterocolitis neutropenic colitis volvulus and sepsis. Shiels DO served as guest editor to. It can be caused by irreversible expansion of the alveoli or by the destruction of alveolar walls.
Source:
Marks et al reported gross reduction in gastric secretion in corrosive gastritis. Other causes include stress secondary to mucosal ischemia and autoimmune gastritis. In its widest definition the embryo is the young from the moment of fertilization until it has become structurally complete and able to survive as a separate organism. Emphysematous gastritis EG is defined as gastric wall inflammation with the presence of intramural gas and systemic toxicity. It is an acute life-threatening condition resulting from gas.
Source: radiopaedia.org
The stomach is the least common location for intramural gas in the gastrointestinal tract. In all reported cases of emphysematous gastritis the patientshad moderate elevation of temperature and pulserate. It is an acute life-threatening condition resulting from gas. Other causes include stress secondary to mucosal ischemia and autoimmune gastritis. We did not in-clude patients with phlegmonous gastritis as they lack evidence of intramural gas.
Source: semanticscholar.org
Emphysematous gastritis is a rare medical condition characterized by the presence of intra-mural air in the stomach associated with portal venous air tracking to a variable degree. Review of Image-Defined Risk Factors in Neuroblastoma. Basics of Imaging and Treatment. Emphysematous gastritis is a rare medical condition characterized by the presence of intra-mural air in the stomach associated with portal venous air tracking to a variable degree. Emphysematous gastritis is a rare disease with gastric inflammation and intramural gas formation due to gas-forming microorganisms.
Source: epos.myesr.org
Gastritis is the histological presence of gastric mucosal inflammationHelicobacter pylori infection and use of nonsteroidal anti-inflammatory drugs NSAIDs or alcohol are the most common causes. Emphysematous gastritis synonyms emphysematous gastritis pronunciation emphysematous gastritis translation English dictionary definition of emphysematous gastritis. The most commonly involved microorganisms are streptococci Escherichia coli Pseudomonas aeruginosa Clostrodium perfrigens and Staphylococcus aureus. It is pos sible that this finding is significant since acid secretions normally prevent bacterial growth in the stomach. We present the case of a 58-year-old man with this rare diagnosis being managed conservatively.
Source: sciencedirect.com
Rare forms include phlegmonous gastritis a rare bacterial infection. Gastritis is the histological presence of gastric mucosal inflammation. The most commonly involved microorganisms are streptococci Escherichia coli Pseudomonas aeruginosa Clostrodium perfrigens and Staphylococcus aureus. Emphysematous gastritis EG is defined as gastric wall inflammation with the presence of intramural gas and systemic toxicity. Chronic or acute inflammation of the stomach especially of the mucous membrane of the stomach.
Source: semanticscholar.org
In the stomach intramural gas can be caused by emphysematous gastritis or ingestion of caustic agents. Gastric pneumatosis GP has been classified as either idiopathic 15 of cases or secondary 85 of cases ranging clinically from a benign condition to a fulminant disease 13-15The clinician challenge in front of this entity is defining weather we are in front of gastric emphysema GE or emphysematous gastritis EG 16-18 as the two entities give contrasting prognosis. In this condition microorganisms eg. It is an acute life-threatening condition resulting from gas. Gastritis is the histological presence of gastric mucosal inflammationHelicobacter pylori infection and use of nonsteroidal anti-inflammatory drugs NSAIDs or alcohol are the most common causes.
Source: onlinelibrary.wiley.com
Gastric emphysema is more common. We did not in-clude patients with phlegmonous gastritis as they lack evidence of intramural gas. Emphysematous gastritis is a severe and rare form of gastritis with characteristic findings of intramural gas in the stomach. The most common and most emergent life-threatening cause of intramural bowel gas is the result of bowel necrosis due to bowel ischemia infarction necrotizing enterocolitis neutropenic colitis volvulus and sepsis. Name for the developing young of an animal or plant.
Source: radiologykey.com
In July 2012 William E. Infection with presence of intramural gas and systemic toxicity is a rare condition and its mortality rate reaches up to 60. A pathological condition of the lungs marked by an abnormal increase in the size of the air spaces resulting in labored breathing and an increased susceptibility to infection. In all reported cases of emphysematous gastritis the patientshad moderate elevation of temperature and pulserate. Shiels DO served as guest editor to.
Source: elsevier.es
Computed tomography is the. In July 2012 William E. Emfĭ-semah-tus of the nature of or affected with emphysema. Other causes include stress secondary to mucosal ischaemia and autoimmune gastritis. Emphysematous gastritis synonyms emphysematous gastritis pronunciation emphysematous gastritis translation English dictionary definition of emphysematous gastritis.
Source: researchgate.net
The most commonly involved microorganisms are streptococci Escherichia coli Pseudomonas aeruginosa Clostrodium perfrigens and Staphylococcus aureus. In the stomach intramural gas can be caused by emphysematous gastritis or ingestion of caustic agents. Gastritis is the histological presence of gastric mucosal inflammation. Other causes include stress secondary to mucosal ischaemia and autoimmune gastritis. Chronic or acute inflammation of the stomach especially of the mucous membrane of the stomach.
Source: elsevier.es
One pa tient vomited a. Infection with presence of intramural gas and systemic toxicity is a rare condition and its mortality rate reaches up to 60. Rare forms include phlegmonous gastritis a rare bacterial. Other causes include stress secondary to mucosal ischemia and autoimmune gastritis. Shiels DO served as guest editor to.
Source:
Infection with presence of intramural gas and systemic toxicity is a rare condition and its mortality rate reaches up to 60. Emphysematous gastritis is a rare disease with gastric inflammation and intramural gas formation due to gas-forming microorganisms. Other causes include stress secondary to mucosal ischaemia and autoimmune gastritis. Patients with emphysematous gastritis are usually very ill and the gastric wall is thickened. We did not in-clude patients with phlegmonous gastritis as they lack evidence of intramural gas.
Source: encrypted-tbn0.gstatic.com
Data identification and selection. Emphysematous gastritis EG is defined as gastric wall inflammation with the presence of intramural gas and systemic toxicity. Computed tomography is the. In July 2012 William E. Emphysematous gastritis is a cause of gastric emphysema.
Source: casereports.bmj.com
It can be caused by irreversible expansion of the alveoli or by the destruction of alveolar walls. Escherichia coli Clostridium perfringens Clostridium welchii or mixed infections with Staphylococcus aureus produce the gas which is identified within the stomach wall 3. Emphysematous gastritis EG is defined as gastric wall inflammation with the presence of intramural gas and systemic toxicity. The imaging appearance of emphysematous gastritis can be the same as gastric emphysema. Chronic or acute inflammation of the stomach especially of the mucous membrane of the stomach.
Source: casereports.bmj.com
In this condition microorganisms eg. In July 2012 William E. Gastric emphysema referring to the presence of gas in the wall of the stomach is a relatively rare imaging finding 1. Vascular anomalies is a broad term used to encompass congenital. Term used to describe the unborn offspring in the uterus of vertebrate animals after the embryonic stage see embryo embryo.
Source: cureus.com
Emphysematous gastritis is a rare medical condition characterized by the presence of intra-mural air in the stomach associated with portal venous air tracking to a variable degree. Helicobacter pylori infection and use of non-steroidal anti-inflammatory drugs NSAIDs or alcohol are the most common causes. In the stomach intramural gas can be caused by emphysematous gastritis or ingestion of caustic agents. It is a rare infection with less than 100 cases reported in the literature. Data identification and selection.
Source: radiopaedia.org
The stomach is the least common location for intramural gas in the gastrointestinal tract. Other causes include stress secondary to mucosal ischemia and autoimmune gastritis. Rare forms include phlegmonous gastritis a rare bacterial infection. Term used to describe the unborn offspring in the uterus of vertebrate animals after the embryonic stage see embryo embryo. Computed tomography is the.
Source:
Gastric pneumatosis GP has been classified as either idiopathic 15 of cases or secondary 85 of cases ranging clinically from a benign condition to a fulminant disease 13-15The clinician challenge in front of this entity is defining weather we are in front of gastric emphysema GE or emphysematous gastritis EG 16-18 as the two entities give contrasting prognosis. Emphysematous gastritis is a rare disease with gastric inflammation and intramural gas formation due to gas-forming microorganisms. A severe variant of pneumatosis intestinalis emphysematous gastritis has been traditionally considered to have mortality rates as high as 60-80. Other causes include stress secondary to mucosal ischemia and autoimmune gastritis. Emphysematous gastritis EG is defined as gastric wall inflammation with the presence of intramural gas and systemic toxicity.
This site is an open community for users to do submittion their favorite wallpapers on the internet, all images or pictures in this website are for personal wallpaper use only, it is stricly prohibited to use this wallpaper for commercial purposes, if you are the author and find this image is shared without your permission, please kindly raise a DMCA report to Us.
If you find this site beneficial, please support us by sharing this posts to your preference social media accounts like Facebook, Instagram and so on or you can also bookmark this blog page with the title emphysematous gastritis definition by using Ctrl + D for devices a laptop with a Windows operating system or Command + D for laptops with an Apple operating system. If you use a smartphone, you can also use the drawer menu of the browser you are using. Whether it’s a Windows, Mac, iOS or Android operating system, you will still be able to bookmark this website.





